|
|
|||||||||||||||||||||||||||||||
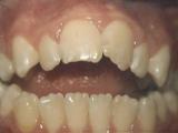
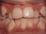
| How orthodontic treatment works Orthodontic appliances can be made of ceramic, stainless steel, gold, or acrylic. They may be removable or fixed. By placing a constant, gentle force in a carefully controlled direction, braces slowly move teeth to a corrected position. This is a great time to wear braces! Gone are the days when a metal band was placed around each tooth. You can choose braces that are clear or metallic color. You can choose the color of elastic ties that hold the wire into the brackets. Wires are also less noticeable and are made of space-age materials which move teeth faster with less discomfort to our patients. Braces in Action Here are some examples of some problems orthodontics can correct. Click on any patient to see the amazing changes morphed into their finished results! |
